Cure de Hernie discale cervicale - Arthrodèse cervicale par voie antérieure

version imprimable

LA MALADIE DONT VOUS SOUFFREZ, DE QUOI S’AGIT-IL ?

Hernie Discale
Hernie discale "molle"
postérolatérale droite
Coupe IRM

Il s’agit d’une lésion d’un disque séparant deux vertèbres de votre cou, qui va être opérée par l’avant. La cicatrice sera située sur l’avant de votre cou.
Petit rappel anatomique : le cou humain comporte sept vertèbres cervicales toutes séparées par des amortisseurs : les disques intervertébraux.

La lésion du disque (discopathie), provoquée soit par un traumatisme, soit le plus souvent par l’usure, peut entrainer une compression sur les structures nerveuses.

La hernie discale cervicale siège à l’arrière du disque et peut alors comprimer soit le nerf sortant entre les deux vertèbres (la racine nerveuse) ou même si la hernie est plus volumineuse, comprimer l’ensemble de la moelle épinière qui est située derrière le disque.

Elle entraîne, lorsque cette compression agit sur le nerf sortant (racine), une douleur sur le bras appelée névralgie cervico-brachiale, allant parfois jusqu’aux doigts. Le trajet douloureux renseigne sur le niveau du disque atteint.

L’ÉVOLUTION SPONTANÉE EN L’ABSENCE DE TRAITEMENT

Plus la compression est importante et durable plus le risque de lésions grave s’accroît. La douleur initiale peut alors s’intensifier, apparaissent ensuite des fourmillements et des pertes de sensibilité voire des problèmes de perte de force dans la main ou même du bras.

Les douleurs sont habituellement aggravées par les mouvements de la tête et du cou.

Lorsque la hernie est très volumineuse, et localisée au milieu du disque, elle peut directement comprimer la structure nerveuse principale, la moelle épinière. Cela peut se traduire par une sensation de faiblesse dans les jambes (limitant votre périmètre de marche) et des lâchages d’objets.

L’évolution spontanée peut dans certain cas conduire à une amélioration ou disparition des douleurs de névralgie, mais on ne peut envisager de patienter qu’en l’absence de troubles neurologiques déficitaires et si la douleur reste supportable.

LES EXAMENS À FAIRE

Arthrose
Arthrose des uncus
responsable d'une sténose foraminale
vue anatomique

Même si le chirurgien en vous examinant peut avoir une idée déjà précise du niveau discal à l’origine du problème, un certain nombre d’examens complémentaires sont aujourd’hui utiles pour confirmer l’endroit exact où siège la lésion mais aussi pour éliminer un certain nombre de maladies qui pourraient donner des signes trompeurs.

Il s’agit des examens suivants :

  • La radiographie standard : elle permet de reconnaître le niveau du disque atteint, car en général, le disque est moins haut et partiellement écrasé. Le plus souvent, les hernies siègent entre la 5ème et la 6ème vertèbre cervicale et/ou entre la 6ème et la 7ème vertèbre cervicale.
    La radiographie permettra également de rechercher des signes d’arthrose sur des lésions plus anciennes, et d’étudier également la courbure générale de la colonne cervicale. Cet examen radiologique ne présente pas de danger d’irradiation, sauf s’il était répété très souvent.
  • Il est parfois utile de demander des examens radiologiques en position de flexion et d’extension pour apprécier la souplesse de la colonne et l’instabilité du disque atteint.
  • hernie cervicale calcifiée
    Hernie cervicale calcifiée
    coupe Scanner
  • Le scanner (ou tomodensitométrie) : qui utilise également les rayons X, permet de visualiser le disque de façon plus précise, par tranches. Il permet de bien préciser la taille de la hernie, sa position et si elle s’accompagne de constructions osseuses liées à l’arthrose. Parfois le radiologue décide de faire une injection intra veineuse d’iode, de façon à mieux voir l’environnement de la hernie. Il faut savoir que le scanner utilise une quantité de rayons X beaucoup plus importante que la radiographie simple.
  • L’imagerie par résonance magnétique (IRM) : elle permet de donner des informations supplémentaires à celles du scanner, en montrant mieux les tissus mous environnants et en permettant de donner une information sur la qualité des tissus, elle montre par contre moins bien les structures osseuses. Elle détecte particulièrement bien les lésions de la moelle épinière (myélopathie cervicale) en cas de rétrécissement du canal lié à l’arthrose ou à une très grosse hernie.
  • L’électromyogramme (EMG) : Il permet d’étudier la qualité de fonctionnement des nerfs, de confirmer et de préciser la gravité de la compression nerveuse.
  • Des examens plus complexes (potentiels évoqués moteurs et sensitifs) sont parfois demandés afin d’enregistrer le fonctionnement de la moelle épinière.

compression médullaire par hernie discale
Hernie cervicale compressive sur la moelle épinière
coupe sagittale IRM

Ces examens permettent de rendre compte de la gravité de l’atteinte nerveuse, qui explique parfois les différences de récupération.

LES DIFFÉRENTS TRAITEMENTS POSSIBLES

Dans les formes légères ou débutantes, des traitements médicaux sont institués :

  • Médicaments contre la douleur (des simples médicaments antalgiques jusqu’à la prescription de dérivés morphiniques dans les douleurs très intenses).
  • Des médicaments anti-inflammatoires car la lésion s’accompagne souvent d’œdème et d’inflammation (les anti- inflammatoires sont prescrits si vous les supportez, des médicaments protecteurs gastriques sont parfois utiles). Les plus puissants des anti-inflammatoires sont les corticoïdes.
  • Des médicaments agissant sur la contracture musculaire, les myorelaxants.
  • L’immobilisation du cou par un collier orthopédique ou une minerve, est utile.
  • Une fois la période très douloureuse passée, ces traitements médicaux peuvent être complétés par des séances de rééducation.

Si la douleur persiste ou s’aggrave, on peut proposer des infiltrations (injections d’anti-inflammatoires puissants) souvent sous contrôle du scanner.

Quand faut-il opérer ?

L’intervention est décidée rapidement voire parfois en urgence, s’il existe des lésions des nerfs sérieuses, en particulier paralysie. Souvent on attendra quelques semaines de traitement médical avant de vous proposer, en cas d’échec, une intervention de libération chirurgicale.

En accord avec votre chirurgien et selon la balance bénéfice-risque il vous a été proposé un traitement par voie antérieure de votre hernie cervicale. Le chirurgien vous a expliqué les autres alternatives. Il va de soi que votre chirurgien pourra, le cas échéant en fonction des découvertes peropératoires ou d’une difficulté rencontrée, procéder à une autre technique jugée par lui plus profitable à votre cas spécifique.

LE TRAITEMENT CHIRURGICAL ET LES RÉSULTATS ATTENDUS

Le Principe de l'intervention

Elle consiste à enlever la hernie discale et libérer ainsi la compression du nerf et/ou de la moelle épinière. Le geste chirurgical peut ne pas donner un résultat parfait, surtout si les lésions nerveuses sont très importantes (avec troubles neurologiques déficitaires soit sensitifs soit moteurs), ou si la compression a été trop longue. L’intervention a pour but de décomprimer les structures nerveuses en enlevant la hernie discale et éventuellement les structures osseuses parfois associées, construites par l’arthrose.

L’abord par l’avant du cou est actuellement choisi par la majorité des chirurgiens, car il évite de mobiliser la moelle épinière durant l’intervention, ce qui serait le cas lors d’un abord par l’arrière (par la nuque).

L’ANESTHÉSIE

Une anesthésie générale est habituellement nécessaire pour cette intervention. Une consultation spécifique avec votre anesthésiste est actuellement indispensable et légalement obligatoire pour vous expliquer tous les risques possibles de l’anesthésie.

Quelques équipes en utilisant des techniques mini-invasives peuvent réaliser ce geste sous anesthésie locale.

L’INTERVENTION CLASSIQUE SE DÉROULE AU BLOC OPÉRATOIRE

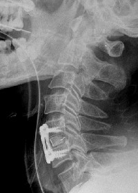
Cage + plaque en C5C6
Radiographie postopératoire
Cage + plaque en C5C6

L’intervention se fait sous anesthésie générale le plus souvent.L’incision cutanée droite ou gauche, horizontale ou verticale, sera choisie par votre chirurgien et ne correspond pas toujours au côté de la douleur. Le patient opéré est en général couché sur le dos en position demi-assise, après avoir repéré le niveau à opérer par contrôle radiographique ou radioscopique.

Elle consiste dans un premier temps à enlever le disque maladie, puis la hernie, et éventuellement les structures osseuses qui participent à la compression.

Les abords lésionnels directs sont réalisés par un abord antérieur, c’est-à-dire que l’incision sur votre cou est faite en avant, légèrement de côté droit ou gauche et que la colonne cervicale est abordée au niveau de la partie médiane d’un ou de deux disques. Le chirurgien passe entre les muscles, les vaisseaux sanguins et les nerfs qui longent la colonne verticalement et qui sont écartés vers le dehors. La trachée et l’œsophage sont quant à eux écartés vers le milieu.

Le ou les disques malades sont excisés et un écarteur est mis en place pour reconstituer la hauteur normale de l’espace entre deux corps vertébraux (cet espace avait fortement diminué par suite de l’usure du disque malade). On peut alors créer un trou dans l’ossification qui siège derrière le disque, soit avec une curette, soit avec une petite fraise mue par air comprimé. A travers ce trou, le chirurgien introduit ensuite précautionneusement l’extrémité fine d’une pince gouge emporte-pièce et ronge progressivement l’ostéophyte. Ce geste chirurgical est appelé ostéophytectomie transdiscale cervicale.

Parfois, lorsque la compression siège sur deux niveaux vertébraux, le chirurgien enlève deux disques adjacents ainsi que le corps vertébral situé entre les deux disques, on parle alors de corporectomie cervicale.

Qu’il s’agisse d’ostéophytectomie transdiscale ou de corporectomie, une fois le canal cervical libéré, il faut restabiliser la colonne vertébrale et restituer la courbure et la hauteur du segment de colonne opéré. Le chirurgien pourra là utiliser diverses techniques : greffon osseux prélevé sur votre crête iliaque (os du bassin), geste nécessitant une incision supplémentaire, greffon de substitut osseux (il en existe plusieurs variétés), cage artificielle placée entre les corps vertébraux, très souvent une ostéosynthèse est ajoutée par plaque métallique vissée ou agrafe spéciale. Ces matériaux métalliques sont de nos jours le plus souvent en titane, métal qui ne perturbe pas (au contraire de l’acier inox) le contrôle post-opératoire par IRM ou scanner.

Enfin, certains chirurgiens proposent dans certains cas (quand il n’y a pas d’arthrose) une prothèse discale, ce qui est possible actuellement, mais cette technique n'est pas prise en charge par la sécurité sociale.

D’AUTRES TECHNIQUES CHIRURGICALES existent, en fonction de l’expérience du chirurgien et des indications. Elles visent à limiter l’ouverture chirurgicale mais ont le même but que l’intervention classique :

  • Utilisation d’un microscope pendant l’intervention.
  • Chirurgie percutanée avec endoscopie.

L

A DURÉE DE L’INTERVENTION, installation comprise, varie en fonction des techniques utilisées et de l’importance des lésions. Elle avoisine une heure.

FAUT-IL UNE TRANSFUSION ? Habituellement, la transfusion n’est pas nécessaire. Avant la fermeture de l’incision, on met en place un système de drainage afin d’éviter l’apparition d’un hématome et d’évacuer les saignements postopératoires.

LES SUITES POSTOPÉRATOIRES

DOULEURS

Habituellement, une fois la racine décomprimée les phénomènes douloureux du bras disparaissent rapidement, les douleurs cervicales sont également régressives un peu plus lentement. Un collier mousse vous aidera également à lutter contre la douleur liée aux risques de contractures, pendant une durée de trois à six semaines. Vous êtes en général autorisé à vous lever le soir même ou le lendemain de votre intervention, la durée d’hospitalisation varie entre deux et cinq jours, le drainage étant enlevé en général au deuxième jour.

TRAITEMENT COMPLEMENTAIRE

Le risque de phlébite est exceptionnel en raison d’un lever précoce, et il n’est habituellement pas nécessaire de mettre en place un traitement anticoagulant postopératoire. Les fils ou agrafes cutanées sont enlevés entre cinq et dix jours postopératoires. Une radiographie postopératoire est réalisée, soit en salle d’opération soit en cours de l’hospitalisation.

LES COMPLICATIONS

Les plus fréquentes

Comme toute chirurgie il existe un risque d’hématome qui se résorbe en règle tout seul. Le risque, s’il augmente de façon importante, est de comprimer les voies respiratoires ou même la moelle épinière et peut exceptionnellement nécessiter une ponction évacuatrice ou un drainage chirurgical.

Plus rarement

Les risques concernant les vaisseaux sanguins. Les vaisseaux sanguins (carotide) peuvent être lésés durant l’intervention, il faut alors réparer la lésion et éventuellement transfuser en fonction des pertes sanguines. Leur lésion peut mettre en danger l’oxygénation du cerveau. Les lésions de vaisseaux sont très exceptionnelles car le chirurgien utilise des écarteurs qui sont atraumatiques, qui sont régulièrement relâchés de façon à ne pas perturber le flux sanguin. Les lésions des nerfs ou de la moelle épinière sont exceptionnelles, il peut en résulter des pertes de sensibilité ou des troubles paralytiques. Un nerf particulier peut éventuellement être lésé soit par étirement ou plaie accidentelle, le nerf récurrent, il commande la fonction vocale. Ce nerf est plus souvent lésé par étirement excessif et dans ce cas, les difficultés phoniques (dysphonie : voix cassée) sont transitoires. Il peut survenir des troubles de la déglutition de la salive. La méninge peut être blessée, entraînant une fuite du liquide céphalo-rachidien, cette fuite n’a habituellement pas de conséquence mais elle nécessite de prolonger l’alitement pendant la période d’hospitalisation. Une plaie de l’œsophage, bien que très exceptionnelle, peut survenir car il se trouve juste devant la colonne cervicale. Ce risque est majoré en cas de reprise chirurgicale, en cas d’adhérence. L’infection du site opératoire, dite infection nosocomiale. Très rare au niveau cervical, peut toujours se produire, en règle générale, l’identification du germe en cause, et la prescription d’antibiotiques adaptés, éventuellement accompagnée d’un nettoyage chirurgical secondaire, permettent la guérison complète. L’infection peut nécessiter une intervention de nettoyage ou de ponction pour mettre le germe en évidence. L’alitement et les risques individuels (diabète, varices, etc.) peuvent majorer le risque de phlébite des membres inférieurs (caillot dans les veines). Cette phlébite est susceptible d’entraîner une embolie pulmonaire, risque majeur de cette affection, habituellement correctement limité par la prescription des médicaments anticoagulants, lorsque le terrain du patient comporte un tel risque. La non-soudure de deux vertèbres, la consolidation osseuse après greffe intervertébrale peut être compromise en cas de diabète et de tabagisme, et conduire à une absence de soudure (pseudarthrose) qui peut nécessiter une nouvelle intervention en vue de parfaire cette consolidation. L’intervention sur le niveau opéré ne vous prémunit pas complètement de l’apparition secondaire, d’une lésion sur un autre niveau discal. Le délai de mise en route des traitements de l’ensemble de ces complications, reste un élément très important dans les chances de réussite, il vous appartiendra d’informer votre chirurgien le plus rapidement possible, en cas de présence de la moindre anomalie ou doute.

QUELQUES QUESTIONS QUE VOUS DEVEZ VOUS POSER OU POSER À VOTRE CHIRURGIEN AVANT DE VOUS DÉCIDER POUR UNE INTERVENTION DE LA COLONNE

  • Pourquoi me recommandez-vous cette chirurgie particulièrement ?
  • Y a-t-il d’autres solutions chirurgicales pour mon cas et pourquoi ne me les recommandez-vous pas ?
  • Si je ne me fais pas opérer, mon état va-t-il se dégrader ?
  • Comment se passe l’acte chirurgical et en avez-vous l’expérience ? Quel est le temps opératoire ? Quelle est la durée de l’hospitalisation ? Aurai-je beaucoup de douleurs et comment la traiter?
  • Quels sont les risques et/ ou complications encourus pour cette chirurgie ?
  • Quels sont les bénéfices pour moi à être opéré et quel résultat final puis-je espérer?
  • Au bout de combien de temps pourrai-je reprendre mon travail ou mes activités sportives et quelle sera la durée totale de ma convalescence ?
  • Me recommandez-vous un second avis ?